+7 (926) 324-75-85

Dental Centre — стоматологическая клиника для всей семьи

Клиника, где комфортно каждому

Мы создали теплую и уютную атмосферу, где каждый — от малышей до взрослых чувствует себя как дома. Забота о вашем здоровье и улыбке в дружеской обстановке.

Наша команда

В нашей стоматологии работают не только врачи высшего класса, но и специалисты, которые искренне заботятся о вашем комфорте. Мы уверены, что лечение должно быть не только качественным, но и проходить в атмосфере спокойствия и доверия!

Цахаев Цахай — хирург-стоматолог Dental Centre в Красногорске
цахаев цахай хирург
“Спокойно и аккуратно подхожу к каждому пациенту. Забочусь о комфорте взрослых и детей.”
Лободина Наталья — стоматолог-терапевт Dental Centre, Красногорск
лободина наталья терапевт
“Всегда объясняю всё понятно и просто. Для меня важен результат и ваше доверие.”
Ибрагимов Аслан — стоматолог-ортопед, имплантация и протезирование в Dental Centre
ибрагимов аслан стоматолог-ортопед
“Провожу сложные процедуры быстро и без лишнего стресса для пациента.”
Цахаева Рувайдат — детский стоматолог Dental Centre, Павшинская пойма
цахаева рувайдат детский врач
“Легко нахожу общий язык с детьми и помогаю им не бояться лечения.”

Наши работы

Все работы

До и после на реальных пациентах

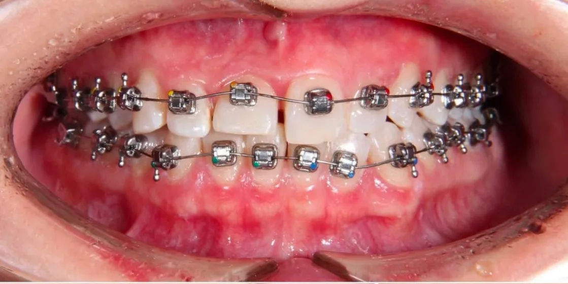
Устранение скученности верхнего ряда — после
Устранение скученности верхнего ряда — до
До После
Ортодонтия

Устранение скученности верхнего ряда

Выравнивание выступающего клыка и переплетённых резцов за 15 месяцев

Алиева М.В. · 15 месяцев
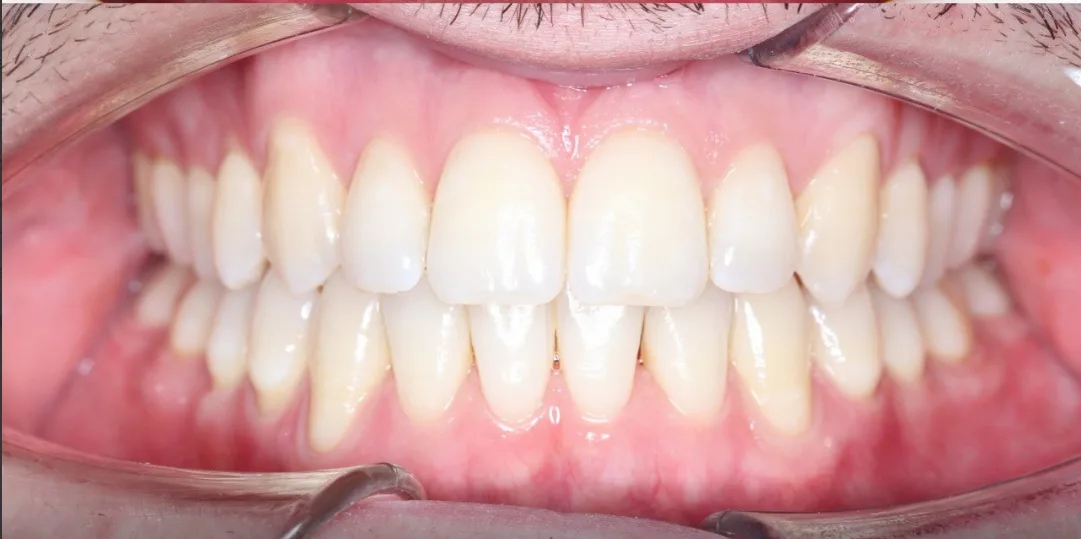
Закрытие промежутков и выравнивание прикуса — после
Закрытие промежутков и выравнивание прикуса — до
До После
Ортодонтия

Закрытие промежутков и выравнивание прикуса

Устранение трем и коррекция прикуса брекетами за 16 месяцев

Алиева М.В. · 16 месяцев
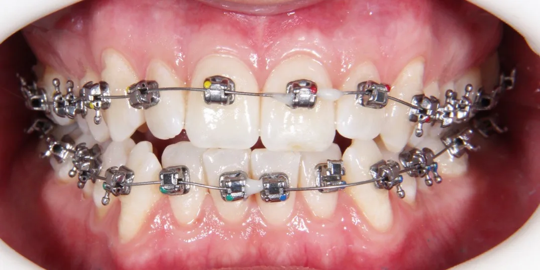
Брекет-лечение взрослого пациента — после
Брекет-лечение взрослого пациента — до
До После
Ортодонтия

Брекет-лечение взрослого пациента

Активная фаза лечения брекетами — ход и итоговый результат

Алиева М.В. · 17 месяцев

Выберите услуги для всей семьи

Мы предлагаем полный спектр стоматологических услуг для взрослых и детей. От профилактики до восстановления — доверяйте здоровье своих близких нашим опытным специалистам.

Популярные направления: имплантация зубов, брекеты, чистка зубов, детский стоматолог, лечение кариеса и лечение заболеваний дёсен. Принимаем в Павшинской пойме. Подробнее об услугах и ценах — стоматология в Красногорске.

Отзывы

Оля 28 августа 2025

Очень рады знакомству с Рувайдат Гаджиевной. В нашем случае другие врачи отказывались лечить кариес у 5-летнего ребенка обычным методом, все предлагали через наркоз, а Рувайдат Гаджиевна нашла подход к ребенку и вылечила зубы без уколов с обезболивающим, использовала только гели. У нее имеется дар располагать маленьких детей к себе - ранее дочь боялась зубных врачей, а здесь ходит как на праздник и сама интересуется, когда следующий визит. Прекрасный врач и душевный человек.

Елена 5 августа 2025

Хочу выразить большую благодарность замечательному врачу Ибрагимову Аслану Ахмедовичу! Настоящий профессионал, очень вежливый, аккуратный, знающий свое дело на все 100%! Страдаю патологической боязнью зубных врачей с детства, но Аслану Ахмедовичу удалось настолько расположить к себе, что я обязательно вернусь снова. Огромное Вам спасибо!

Мария 6 июня 2025

Обратилась в стоматологию после рождения ребенка, очень переживала. Врачи Наталья и Аслан относились максимально с пониманием. Приду еще. С записью проблем не было.

Команда стоматологов Dental Centre — врачи клиники в Красногорске

познакомимся?

Запишитесь на бесплатную консультацию или расчет стоимости

Не откладывайте заботу о своем здоровье! Бесплатная консультация — это идеальная возможность познакомиться с нами, получить профессиональное мнение и задать все ваши вопросы. Мы ценим каждого пациента и рады сделать первый шаг навстречу вашей улыбке!

Часто задаваемые вопросы о клинике

Где находится клиника и как до вас добраться?

Dental Centre расположен в Красногорске, Павшинская пойма, ул. Егорова, д. 5. От метро «Мякинино» — 10 минут пешком, от ж/д станции «Павшино» — 15 минут. Рядом есть парковка. Удобно добраться из Нахабино, Строгино и других районов.

Консультация действительно бесплатная?

Да, первичная консультация и составление плана лечения в нашей клинике бесплатны. Врач проведёт осмотр, при необходимости сделает снимок и подробно расскажет о вариантах лечения и стоимости. Записаться можно по телефону +7 (926) 324-75-85 или через форму на сайте.

Принимаете ли вы детей?

Да, у нас работает детский стоматолог — Цахаева Рувайдат Гаджиевна. Она принимает детей с 2 лет и умеет находить подход даже к самым тревожным маленьким пациентам. Лечение молочных зубов, герметизация фиссур, профилактика — всё в одном месте.

Сколько стоит имплантация зуба?

Установка импланта Osstem (Южная Корея) — от 30 000 руб., имплантация под ключ (имплант + коронка) — от 50 000 руб. Также работаем с Straumann (Швейцария) и Nobel Biocare. Точную стоимость врач определит после осмотра и КТ-снимка.

Какой у вас график работы?

Мы работаем ежедневно, без выходных, с 10:00 до 21:00. Записаться на удобное время можно по телефону или через WhatsApp/Telegram: +7 (926) 324-75-85.

Больно ли лечить зубы в вашей клинике?

Мы используем современные анестетики, которые обеспечивают полное обезболивание. Перед уколом наносим аппликационный гель, чтобы даже укол был незаметным. Для детей и тревожных пациентов доступна седация (закись азота). Наши врачи работают аккуратно и всегда объясняют, что будет происходить.